Zum Hauptinhalt springen

Case report

Posttraumatisches Pseudoaneurysma der A. brachialis dextra bei Z. n. Humerusfraktur mit geschlossener Reposition und Drahtspickung bei einem Kind

Posttraumatisches Pseudoaneurysma der A. brachialis dextra bei Z. n. Humerusfraktur mit geschlossener Reposition und Drahtspickung bei einem Kind

M. Eltokhyy1, U. Barth1, F. Meyer F2, H. Krause3, C. March4, Z. Halloul1
M. Eltokhy und U. Barth sind gleichberechtigte Erstautoren

1 Arbeitsbereich Gefäßchirurgie; Klinik für Allgemein-, Viszeral-, Gefäß- und Transplantationschirurgie;
2 Klinik für Allgemein-, Viszeral-, Gefäß- und Transplantationschirurgie; 
3 Abteilung Kinderchirurgie, Kindertraumatologie und Kinderurologie; Klinik für Allgemein-, Viszeral-, Gefäß- und Transplantationschirurgie;
4 Klinik für Radiologie und Nuklearmedizin; Universitätsklinikum Magdeburg A. ö. R.
M. Eltokhyy1, U. Barth1, F. Meyer F2, H. Krause3, C. March4, Z. Halloul1
M. Eltokhy und U. Barth sind gleichberechtigte Erstautoren

1 Arbeitsbereich Gefäßchirurgie; Klinik für Allgemein-, Viszeral-, Gefäß- und Transplantationschirurgie;
2 Klinik für Allgemein-, Viszeral-, Gefäß- und Transplantationschirurgie; 
3 Abteilung Kinderchirurgie, Kindertraumatologie und Kinderurologie; Klinik für Allgemein-, Viszeral-, Gefäß- und Transplantationschirurgie;
4 Klinik für Radiologie und Nuklearmedizin; Universitätsklinikum Magdeburg A. ö. R.
Dr. med. Udo Barth
Mahmoud Eltokhy
Einleitung

Pseudoaneurysmen sind eine mögliche und durchaus bekannte als auch gefürchtete Komplikation bei Arterienwandalteration der oberen und unteren Extremität wie z. B. durch Traumata diverser Genese und Schädigungsmechanismen (Druck, Kompression, Dehnung, Schnittverletzung, Fraktur, iatrogen etc.). In der Pädiatrie sind Pseudoaneurysmen hauptsächlich mit Traumata nach Knochenbruch oder chirurgisch-iatrogenem Schaden assoziiert.

Ziel des wissenschaftlichen „Case reports“ war es, den kinderchirurgischen Fall eines Mädchens mit posttraumatisch nach suprakondylärer Humerusfraktur im Intervall entwickeltem Pseudoaneurysma der A. brachialis dextra, basierend auf
i) gewonnenen klinischen Erfahrungen im fallspezifischen Management und
ii) selektiven Referenzen der aktuellen medizinisch-wissenschaftlichen Literatur
zu veranschaulichen.

Fallbericht

Anamnese
Das 6-jährige Mädchen war mehrere Stunden vor der primären Konsultation in der Kindertagesstätte von der Schaukel auf den rechten Ellenbogen gestürzt. Sie berichtete hiernach über Schmerzen und Schwellung am rechten Oberarm. Primär wurde sie mit einer deutlichen Fehlstellung im Bereich des rechten Ellenbogens in einem Krankenhaus der Basisversorgung vorgestellt und anschließend zur fachspezifischen operativen Versorgung ins hiesige Klinikum verlegt.

Klinischer Befund
Klinisch zeigten sich eine Achsverschiebung und ausgeprägte Schwellung am rechten Ellenbogen – bis zum proximalen Unterarm sowie distalen Oberarm reichend – mit functio laesa, ohne Kompartmentsyndrom, Schonhaltung in Pronation und ohne Druckschmerz. Die Supination war schmerzbedingt nicht möglich, das Handgelenk passiv frei beweglich und der Puls der A. radialis dextra (klinisch) nicht palpabel.

Diagnostik
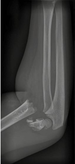
Die Röntgennativaufnahmen des rechten Ellenbogengelenks in 2 Ebenen zeigten eine dislozierte suprakondyläre Humerusfraktur (Abb. 1, Seite 16). Doppler-sonografisch war eine Durchblutungsstörung der A. radialis nachweisbar mit reduzierten Pulskurven. Das stationäre Aufnahmelaborprofil ergab eine auffällige Leukozytose von 14,3 Gpt/l.

Abb. 1: Die initiale Röntgen-Untersuchung des Ellenbogengelenks seitlich zeigte eine dislozierte suprakondyläre Humerusfraktur
(Foto: Klinik für Radiologie und
Nuklearmedizin, Universitätsklinikum Magdeburg A.ö.R.)

Primäre Therapieentscheidung
Nach entsprechender Operationsvorbereitung wurden noch am Unfalltag die geschlossene Reposition und folgende 2-Kirschner-Draht-Osteosynthese in Allgemeinanästhesie durchgeführt. Dazu erfolgte die perioperative Antibiotikagabe mit Ceftriaxon i. v.

Unmittelbar postoperativer Verlauf
Die Doppler-Sonografiekontrolle am ersten postoperativen Tag zeigte erneut eine Durchblutungsstörung (Abb. 3 A – B, Seite 17).

Sekundäre Therapieentscheidung
Daraufhin erfolgte die konsiliarische Vorstellung in der Gefäßchirurgie mit folgender Entscheidung zum multidisziplinären Revisionseingriff, da bei der Patientin eine Pulslosigkeit im Handgelenksbereich
(A. radialis, A. ulnaris, A. brachialis) rechts bei Z. n. geschlossener Reposition der suprakondulären Humerusfraktur rechts bestand. Unter dem Verdacht auf eine Gefäßverletzung der A. brachialis war die notfallmäßige Freilegung vorzunehmen.

Operatives Vorgehen: offen-gefäßchirurgischer Eingriff mit interdisziplinärem kinder- und gefäßchirurgischen Op-Team
Schnittführung in der rechten Ellenbeuge mit eingebluteter Subcutis. Die A. brachialis war nach Entfernung eines Kirschner-Drahtes zu identifizieren – es zeigte sich insbesondere, dass die A. brachialis
in dem Knochenspalt eingeklemmt war. Durch Auseinanderdrängen des Knochenspaltes konnte das Gefäß freigelegt und das Hämatom ausgeräumt werden, wodurch sich die perforierte Wandläsion der A. brachialis dextra darstellte (Abb. 2), die mit 7-0 Prolene-Naht (Ethicon, Norderstedt/Deutschland) versorgt wurde. Die Arterie zeigte sich gut pulsierend. Einlage von Gelasponstreifen ins OP-Gebiet und Platzierung einer Mini-Redon-Drainage in die rechte Ellenbeuge. Anschließend erfolgte der schichtweise Wundverschluss subkutan mittels Vicryl 3-0 (Ethicon), Hautverschluss mit einem resorbierbaren Faden (5-0) Einzelknopfnaht, gefolgt von Wunddesinfektion und sterilem Verband. Anlage einer Gipsschiene durch den Kinderchirurgen. Die postoperative Kontrolle mittels Doppler-Sonde zeigte gut detektierbare Pulse der A. radialis und A. ulnaris rechts.

Abb. 2: Intraoperativer Op-Situs eines
ähnlichen Falles: Frakturspalt (gelber Pfeil)
und thrombosierter verletzter Gefäßabschnitt (schwarzer Pfeil) der A. brachialis
(Foto: mit freundlicher Genehmigung von
Prof. Dr. Halloul, Arbeitsbereich Gefäßchirurgie, Klinik für Allgemein-, Viszeral-, Gefäß- und Transplantationschirurgie, Universitätsklinikum Magdeburg A. ö. R.)

Sekundär-postoperativer Verlauf
Postoperativ wurde die Patientin auf die Kinderintensivstation übernommen. Eine Analgesie erfolgte mittels Ibuprofen und Paracetamol gewichtsadaptiert. Im stationären Verlauf war nur ein langsames Abschwellen im OP-Bereich zu verzeichnen trotz konsequenter Hochlagerung des rechten Arms, lokaler Kühlung und kontinuierlicher Durchblutungsüberwachung (bei zügiger Entfernung der Mini-Redon-Drainage).

In der postoperativen Doppler-Sonografiekontrolle zeigte sich die regelrechte Durchblutung der arteriellen Gefäße am rechten Arm.

Verlaufsmaßnahmen
Nach deutlichem Rückgang der Weichteilschwellung sowie bei intakter peripherer Durchblutung und Sensomotorik wurde die Patientin 3 Tage postoperativ mit Anlage eines Oberarm-Cast-Verbandes entlassen.

Abb. 3 (A – C): Sonografie-Kontrolle nach geschlossener Reposition und Drahtspickung der Humerusfraktur
(Fotos: Arbeitsbereich Gefäßchirurgie, Klinik für Allgemein-, Viszeral-, Gefäß- und Transplantationschirurgie, Universitätsklinikum Magdeburg A. ö. R.)

A) Doppler-Sonografie am ersten postoperativen Tag – zeigt Verschlechterung der systolischen Spitzenfrequenz (FS) der A. radialis dextra

C) Doppler-Sonografie am Entlassungstag – zeigt Verbesserung des FS der rechten Armarterien.

B) Farbkodierte Duplex-Sonografie am ersten postoperativen Tag – zeigt Anprall der A. brachialis dextra und Verschlechterung des Abflusses in die A. radialis detxra

Weiteres Procedere
Eine Wiedervorstellung in der hiesigen kinderchi-rurgischen Ambulanz am 7. postoperativen Tag zur Wundkontrolle ergab keine Auffälligkeiten, die Sen-somotorik war intakt. Die postoperative Doppler-Sonografiekontrolle zeigte deutlich verbesserte Flusskurven (Abb. 3 C). Die Röntgenkontrolle nach
2 Wochen zeigte eine regelrechte Frakturstellung. Schulfähigkeit wurde nach abgeschlossener Wundheilung – nach 4 Wochen postoperativ – ausgesprochen. Eine Schulsportbefreiung wurde für ein halbes Jahr empfohlen.

Diskussion

Art und Intensität des Traumas bestimmen die Symptomatik der Gefäßverletzung. Beim direkten schar-fen Trauma ist die Schädigung von der Adventitia zur Intima gerichtet. Beim direkten stumpfen Trauma (Kontusion, Kompression) ist sie umgekehrt. Bei partiellen Wandläsionen (Grad II nach Linder und Vollmar) dominiert die Blutung, bei vollständiger Lumendurchtrennung (Grad III) treten Kontraktionen der Arterienstümpfe auf und es kommen Ischämiezeichen hinzu. Bei stumpfen Traumen mit Intimaeinrissen (Grad I) treten meist keine Symptome auf. Sind Intima und Media betroffen (Grad II), kann sich innerhalb von Stunden eine Thrombose mit peripherer Ischämie entwickeln. Bei kompletter Zerquetschung (Grad III) kommt es praktisch immer zum akuten Gefäßverschluss (1).

Pseudoaneurysmen entstehen durch eine Unterbrechung der Kontinuität der Arterienwand und stehen am häufigsten im Zusammenhang mit einem Pene-trationstrauma, einer Arterienwandentzündung oder iatrogenen Ursachen. Sie unterscheiden sich von echten Aneurysmen dadurch, dass eine oder mehrere Schichten der Arterienwand davon fehlen. Die Häufigkeit peripherer arterieller Pseudoaneurysmen ist an den oberen Extremitäten geringer als an den unteren Extremitäten und die häufigste Ursache ist eine Schuss- oder Stichwunde. Durch die Zerstörung der Gefäßwand bildet sich ein Hämatom neben der beschädigten Arterie. Das entwickelnde Hämatom umhüllt den beschädigten Teil der Arterie und beeinträchtigt die Durchblutung. Periphere Arterien sind besonders anfällig für diese Art von Erkrankungen und Komplikationen, da sie ausschließlich von Weichgewebe umgeben und daher nicht ausreichend geschützt sind.

Die meisten veröffentlichten Fälle von Pseudoaneurysmen der oberen Extremitäten bei Erwachsenen berichteten über ein penetrierendes Trauma als Hauptursache (2). In der pädiatrischen Patientenklientel sind Knochenbrüche eine weitere wesentliche Ursache. Es ist wichtig, ein Pseudoaneurysma bei der Beurteilung pädiatrischer Patienten mit posttraumatischer Schwellung an den oberen oder unteren Extremitäten mit in Betracht zu ziehen, obwohl sie nur sehr selten bei pädiatrischen Patienten vor-kommen und bei der klinischen Untersuchung auch übersehen werden können (3).

Als hochzuverlässige diagnostische Instrumente zur Detektion und Beurteilung von Pseudoaneurysmen werden die Doppler- und Duplex-Sonografie (4) sowie die Angiografie eingesetzt. Die selektive Arteriografie der oberen Extremität ist der Goldstandard (5). Trotzdem war die Duplex- und Doppler-Sonografie in unserem Fall suffizient.

Als Limitation ist anzuführen, dass es sich beim berichteten Fall „lediglich“ um die Schilderung eines Einzelfalles handelt und die meisten der vorliegenden Studien zumeist kleine retrospektive Fallserien ohne Kontrollgruppe darstellen. Dennoch sind im klinisch-spezifischen Vorgehen des vorgestellten Falls im Zusammenhang mit der wissenschaftlich relevanten Literatur wertvolle Erfahrungen im Diagnose-bezogenen Fallmanagement eruiert worden.

Fazit

Obwohl selten, entstehen Pseudoaneurysmen an der oberen Extremität an Arterien distal der A. axilla-ris zumeist bei pädiatrischen Patienten als Komplikation von Knochenbrüchen. Sie können mit verschiedenen Komplikationen wie Ruptur und Blutung oder Thromboembolien verbunden sein, die in letzter Konsequenz Auswirkungen bis zu Gangrän und Amputation haben können. Daher sind die stetige klinische Kontrolle und geeignete diagnostische Verfahren wie Duplex-Sonografie und MRT-Angiografie mit Volumendarstellung wichtig, um Alterationen des Blutflusses zu erkennen und zu objektivieren als auch ggf. eine sorgfältig geplante chirurgische Behandlung anzuschließen. Wenn in der Frakturregion eine Schwellung auftritt, sollte an ein Pseudoaneurysma gedacht werden, um nachteilige Konsequenzen und Komplikationen zu vermeiden.

Korrespondenzanschrift:
OA. Dr. med. U. Barth
Arbeitsbereich Gefäßchirurgie
Klinik für Allgemein-, Viszeral-, Gefäß- und Transplantationschirurgie
Universitätsklinikum Magdeburg A. ö. R.
Leipziger Straße 44, 39120 Magdeburg
Tel.: 0391/67 15 675, Fax: 0391 67 15541
E-Mail: Diese E-Mail-Adresse ist vor Spambots geschützt! Zur Anzeige muss JavaScript eingeschaltet sein.

Fotos: privat

Literatur
  1. Piatek S, Bürger T, Halloul Z, Westphal T, Holmenschlager F, Winckler S. [Arterial vascular injuries in fractures and dislocations]. Zentralbl Chir 2001;126(5):379-84.
  2. Ho PK, Weiland AJ, McClinton MA, Wilgis EF. Aneurysms of the upper extremity. J Hand Surg [Am] 1987; 12:39–46.
  3. Gu A, Kam AJ. A rare pediatric case of posttraumatic pseudoaneurysm: case report and literature review. Pediatr Emerg Care 2017; https://doi.org/10.1097/PEC.0000000000001236.
  4. Barth U, Granowski D, Stephan-Falkenau S, Bönicke P, Lehmann M, Meyer F. [Unclear swelling and redness after a clavicle fracture]. Chirurgie (Heidelb) 2023;94(4):361-4.
  5. Clark ET, Mass DP, Bassiouny HS, Zarins CK, Gewertz BL. True aneurysmal disease in the hand and upper extremity. Ann Vasc Surg 1991;5:276–81.

Weitere Artikel