Zum Hauptinhalt springen

Insuffizienzfrakturen des hinteren Beckenrings

Operative Konzepte
zur minimalinvasiven
Versorgung von
osteoporose-
assoziierten sowie
Insuffizienzfrakturen
des Os sacrum

Operative Konzepte zur minimalinvasiven Versorgung von osteoporoseassoziierten sowie Insuffizienzfrakturen des Os sacrum

Foto: stock.adobe.com/#126298540

Siekmann, H.1; Ullrich, B.2

1 Klinik für Unfall-, Hand- und Wiederherstellungschirurgie, AMEOS Klinikum, Halberstadt
2 Klinik für Unfall- und Wiederherstellungschirurgie, BG-Klinikum Bergmannstrost, Halle

Dr. Holger Siekmann

Siekmann, H.1; Ullrich, B.2

1 Klinik für Unfall-, Hand- und Wiederherstellungschirurgie, AMEOS Klinikum, Halberstadt
2 Klinik für Unfall- und Wiederherstellungschirurgie, BG-Klinikum Bergmannstrost, Halle

Einleitung

Insuffizienzfrakturen des hinteren Beckenrings nehmen an Häufigkeit kontinuierlich zu. Ursächlich hierfür ist typischerweise die reduzierte Knochenqualität des älteren Menschen, Frauen sind häufiger betroffen [1]. Neben der primären Osteoporose sind als sekundäre Ursachen neben anderen Bestrahlungen, Rheumatoidarthritis, Hyperparathyreoidismus und längerfristige Cortisoneinnahmen zu nennen [3,4]. Neben dem regelmäßig mitbetroffenen vorderen Beckenring (Sitz- und Schambein) betrifft die Fraktur des hinteren Beckenrings typischerweise die Massa lateralis des Os sacrums medial des Sacroiliasacralgelenkes [13].

Üblicherweise verlaufen die Sacrumfrakturen ein- oder beidseitig vertikal, zusätzlich können U- oder H-Komponenten auftreten. Neben der in den letzten Jahren benutzen FFP-Klassifikation (fragility fractures of the pelvic ring) [1] steht zur Beurteilung der Frakturen seit 2021 die AO OF-Klassifikation (Arbeitsgemeinschaft für Osteosynthesefragen, Osteoporotische Frakturen) [2] zur Verfügung, die ergänzend ein Scoring-System zur Abwägung von Operationsnotwendigkeiten bzw. -empfehlungen beinhaltet.

Neben konservativen Therapiemaßnahmen stehen heute mehrere, üblicherweise minimalinvasiv genutzte Operationsmethoden zur Verfügung. Diese werden typischerweise bei FFP-III und IV- Frakturen bzw. bei AO OF III- bis V-Frakturen empfohlen. Im Rahmen dieser Übersicht werden aktuell eingesetzte perkutane Techniken der operativen Versorgung von Os sacrum-Frakturen dargelegt.

Sakroplastie

Erste Erwähnung fand die Sakroplastie im Rahmen der Versorgung von Knochenmetastasen im Jahr 2000 [5], zwei Jahre später wurden dann schon Arbeiten zur identischen Versorgung bei Insuffizienzfrakturen veröffentlicht [6]. Indikationen waren hierbei nicht dislozierte Insuffizienzfrakturen nach Versagen konservativer Therapiemaßnahmen. Hierbei wird der Zementapplikator von dorsal parallel zur Iliosacralfuge oder von lateral unter Visualisierung mittels klassischem Bildverstärker (BV) oder 3D-gestütztem Bildverstärker in die Frakturregion gebracht. Die laterale Technik entspricht hierbei dem Zugang zum Einbringen transiliosacraler Verschraubungen. Mit Erreichen der „region of interest“ werden typischerweise 1,5 – 7,5 ml Polymethylmethacrylatzement (PMMA) in die Frakturregion appliziert, wobei neben der einfachen Sakroplastie auch Kombinationen mit der Ballonkyphoplastie untersucht wurden. Die entsprechenden Studien konnten bei einem „follow-up“ von 18 – 24 Monaten jeweils signifikante und klinisch relevante Schmerzreduktionen nachweisen [7, 8], wobei zwischen den Studien mit und ohne Ballonkyphoplastie keine nachvollziehbaren Unterschiede bzgl. Schmerzreduktionen bestanden. Einzig das Ausmaß von asymptomatischen Zementparavasaten war in den Studien der reinen Sakroplastie erhöht [9]. Majorkomplikationen traten weder bei reiner Sakroplastie noch in Kombination mit der Ballonkyphoplastie auf.

Transiliosakrale Verschraubung S1 oder S1/2 (TISV)

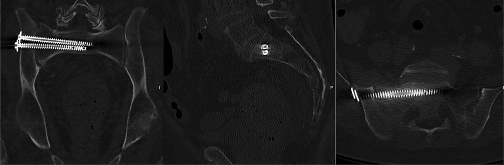
Transiliosakrale Verschraubungen dienen der minimalinvasiven operativen Versorgung des hinteren Beckenrings. Aufgrund der perkutanen Technik sind Möglichkeiten der Reposition sehr beschränkt. Minimalvorgabe ist die Nutzung eines Bildwandlers in Inlet, Outlet und lateraler Projektion, Implantatfehllagen lassen sich durch navigierte Techniken mittels 3D-Scan weiter minimieren. Das operative Vorgehen kann sowohl in Bauch- als auch in Rückenlage erfolgen. Die Markierung der lokalen Anatomie sowie der sogenannten „safe zone“ des Os sacrum auf der Haut haben sich bewährt. Über Stichinzisionen werden 1 oder 2 K-Führungs-Drähte in den S1 bzw. jeweils 1 Draht in S1 sowie S2 über die laterale Iliumcorticalis, die Iliosakralfuge, die Massa lateralis bis in den Korpus S1 bzw. S1/S2 vor- und folgend überbohrt [10]. Da in der Regel keine „open-book“-Instabilität vorliegt, werden anschließend Vollgewindeschrauben (6,5 – 7,5 mm mit Unterlegscheibe) eingeschraubt. Diese werden heute von nahezu allen Firmen mit Perforationen an der Schraubenspitze hergestellt, um, ebenso minimalinvasiv und falls gewünscht, eine zusätzliche Augmentation der Schrauben mit Zement zu ermöglichen. Biomechanische Studien konnten zeigen, dass 2 ipsilaterale Schrauben S1 [Abb. 1] bzw. je 1 in S1 und S2 eine deutlich erhöhte Stabilität gegenüber einer singulären Schraube erreichen [11], hier insbesondere eine erhöhte Rotationsinstabilität gegenüber nur einer S1-Schraube [12].

Im Ergebnis zeigen Patienten nach Transiliosacraler Verschraubung (TISV) eine deutliche Reduktion der Schmerzintensität bei Verbesserung der Selbstständigkeit sowie einem rascheren Erreichen der Mobilität.

Abb. 1: postoperative CT-Lagekontrolle einer rechtsseitigen Doppelschrauben-osteosynthese einer transforaminalen Os sacrum-Fraktur einschließlich sagitaler und coronarer Rekonstruktion

Abb. 2: Coronare CT-Kontrolle nach Versorgung einer bilateralen mehrzeitig entstandenen Insuffizienzfraktur mittels Transiliosacralem Bar.

Transsakraler Bar

Hierunter werden Osteosynthesetechniken verstanden, die am lateralen Ilium einerseits das gesamte Sacrum querend und das Ilium der Gegenseite ebenso perforierend, so dass im Anschluss beide Iliumblätter mit dem gesamten Sacrum in der Regel in Höhe S1 verblockt sind [Abb. 2]. In dieser Form dienen sie der bds. iliosacralen Stabilisierung, zeigen jedoch gegenüber einer bilateralen Verschraubung in einer biomechanischen Arbeit Stabilitätsvorteile [12].

Während bei der bilateralen Verschraubung durch eine etwas variable Angulation immer eine Implantatplatzierung möglich ist, benötigt der transsakrale Bar einen entsprechenden Korridor für S1, der nur in 75 – 80 % der Fälle vorliegt, in S2 hingegen in 90 – 99 % der Fälle. Entsprechend bietet sich die Methode zur Behandlung bds. osteoporotischer Frakturen des hinteren Beckenringes an, wobei einige Autoren dieses Verfahren auch bei primär unilateralen Pathologien einsetzen, um einer möglichen Progredienz von unilateralen Insuffizienzfrakturen hin zu bilateralen entgegenzuwirken [14]. Hierdurch sollen sekundäre Frakturen der Gegenseite verhindert werden [15].

Die Operation ist unter Nutzung eines Bildwandlers korrespondierend zur monolateralen Schraubenapplikation möglich. Grundvoraussetzung ist jedoch das Auslesen einer präoperativen Computertomographie (CT) zwecks Abklärung eines entsprechenden Implantkorridors. Um bei Osteoporose ein Einbrechen der Schraubenköpfe in die laterale Iliumkortikalis zu protegieren, sollten zwecks breiterer Auflagefläche hier Unterlegscheiben genutzt werden. Bei Nutzung eines Gewindestabes ist bds. eine gewisse Kompression durch die konternden Schraubenköpfe möglich.

Abb. 3: postoperative konventionell radiologische Kontrolle nach percutaner horizontaler Stabilisierung des hinteren Beckenrings rechts mit Fixateur interne und iliosacraler Schraube („iliosacrales bridging“) in inlet-, anterior-posteriorer und outlet-Projektion

Horizontaler Fixateur interne (in Kombination mit der TISV SI)

Füchtemeier et al. [16] berichteten 2004 über erste klinische Ergebnisse bei der Anwendung des transiliakalen Fixateur interne (TIFI) bei überwiegend unilateralen Becken-C-Verletzungen. Primär wurden hier die Schrauben parallel der Linea glutea superior bilateral im Ilium platziert. Bei höherer Angulation des Schraubenverlaufs nach kaudal in Richtung auf das Acetabulum zu können in diesem supraacetabulären Bereich schon rein anatomisch hier deutlich höhere Schraubenlängen (bis zu 120 mm) erreicht werden. Zudem erreichen die Schrauben supraacetabulär wieder einen Bereich erhöhter Spongiosadichte [17].
In der Folge wurden auch Ergebnisse nach Zementaugmentation dieser Fixateuranordnung bei instabilen Fragilitätsfrakturen beschrieben [18]. Es besteht als Modifikation dieser Methode zudem die Möglichkeit, den horizontalen Fixateur zur Versorgung unilateraler Becken-B-Verletzungen einzusetzen. Dies gelingt durch eine Verkürzung der Fixateuranordnung und Platzierung einer Schraube auf der unverletzten Seite des Os sacrum in Höhe des S1-Pedikels. Über das Instrumentarium des Fixateurs besteht zusätzlich die Möglichkeit einer gewissen Kompression im Frakturbereich. Zudem kann sowohl mono- als auch bilateral durch eine ergänzende transiliosakrale Verschraubung („iliosacrales bridging“) [Abb. 3 und 4] die Stabilität weiter erhöht werden [17], wobei durch die horizontal hintereinander liegenden Implantate (iliosacrale Schraube + Fixateurquerträger) die Stabilität gegenüber den weiteren beschriebenen Verfahren nochmals deutlich erhöht sein müsste. Bei relativ neuer Osteosynthesetechnik stehen hierzu jedoch vergleichende Studien noch aus. Das „iliosacrale bridging“ zeigt bei einem von Altersstruktur und Verletzungsschweren gemischten Patientenkollektiv gute Ergebnisse.

Aufgrund der Fixateurapplikationen erfolgt die Operation in Bauchlage, üblicherweise BV-gestützt. Es ist sinnvoll, vor der Operation lokale Anatomie und geplante Inzisionen zu markieren [Abb. 5].
Neben den allgemeinen Komplikationen ergeben sich Risiken über die Implantation des dorsalen Fixateur sowie infolge der TISV.

Abb. 4 (oben) : postoperative konventionell radiologische Kontrolle nach percutaner horizontaler Stabilisierung des hinteren Beckenrings beidseits mit Fixateur interne und iliosacraler Schrauben („iliosacrales bridging“) in anterior-posteriorer Projektion

Abb. 4: postoperative konventionell radiologische Kontrolle nach percutaner horizontaler Stabilisierung des hinteren Beckenrings beidseits mit Fixateur interne und iliosacraler Schrauben („iliosacrales bridging“) in anterior-posteriorer Projektion

Abb. 5 (rechts) : präoperative Markierungen der Anatomie sowie orientierend der Implantatlage an Gesäß und Rücken vor/während einer monolateralen horizontalen Stabilisierung des hinteren Beckenrings rechts, rechts gluteal ist die Miniincision nach Platzierung der iliosacralen Schraube schon vernäht.

Abb. 5: präoperative Markierungen der Anatomie sowie orientierend der Implantatlage an Gesäß und Rücken vor/während einer monolateralen horizontalen Stabilisierung des hinteren Beckenrings rechts, rechts gluteal ist die Miniincision nach Platzierung der iliosacralen Schraube schon vernäht.

Lumbo- bzw. vertebropelvine bzw. trianguläre Abstützung

Erwartungsgemäß ist die lumbopelvine Fixateurabstützung der alleinigen transiliosakralen Verschraubung bei Vorliegen vertikaler Instabilitäten biomechanisch überlegen [Abb. 6]. Schildhauer et al. [19] konnten dies in einer klinischen Studie in Form geringerer Dislokationen des hinteren Beckenrings im Vergleich zur alleinigen iliosacralen Verschraubung nachweisen. Auch Acklin et al. [20] konnten dieses Ergebnis im Falle reduzierter Knochenqualität reproduzieren. Zusätzlich konnten klinische Studien die Überlegenheit der lumbopelvinen Abstützung im Vergleich zur alleinigen TISV bei bilateralen Pathologien im Sinne von U- und H-Frakturen nachweisen, wobei diese Studie überwiegend Patienten ohne Osteoporose nach Hochrasanztraumata beinhaltete [21]. Das Verfahren ist ebenso minimalinvasiv und BV-gestützt durchführbar. Die Anzahl von Wundinfektionen konnte durch das Einbringen der Implantate durch perkutane Applikationen über Stichinzisionen deutlich gesenkt werden [22]. Das Verfahren ist sowohl mit einem alleinigen lumbopelvinen Fixateur interne möglich, es erreicht jedoch durch die angesprochene TISV als sogenannte trianguläre Abstützung eine nochmalige Zunahme der Versorgungsstabilität.

Abb. 6: Verlaufskontrolle nach 6 Wochen nach bilateraler vertebropelviner Abstützung bei mehrzeitiger vorderer und hinterer Beckenringinsuffizienzfraktur, zwischenzeitlich leichte Auslockerung der beiden iliosacralen Schrauben

Tab. 1. Vor- und Nachteile der minimalinvasiven operativen Konzepte für Sakruminsuffizienfrakturen

Diskussion

Primär in der Therapie von osteoporoseassozierten sowie von Insuffizienzfrakturen des hinteren Beckenrings ist die Frage der konservativen vs. operativen Therapie zu klären. Hierbei entscheidend ist das Ausmaß immobilisierender Schmerzen und das Ausmaß der Instabilität. Hierzu bieten aktuelle Klassifikationen und speziell das zusätzliche Scoring-System der AO OF-Klassifikation gute Entscheidungshilfen. Im Falle der Favorisierung des operativen Vorgehens ist dieses zum einen geprägt von Vorlieben und Erfahrungen der Operateure, da vergleichende Studien der hier aufgeführten Operationsmöglichkeiten zueinander nur in kleinerem Umfang vorliegen. Im Hinblick auf die unterschiedliche Stabilität der Verfahren kann jedoch dazu geraten werden, gerade bei reinen Insuffizienzfrakturen, also solchen, die gänzlich ohne Unfallereignis aufgetreten sind und zunehmend den gesamten Beckenring des Betroffenen einbeziehen, eher die stabileren Operationsverfahren (trianguläre Abstützung, iliosakrales bridging, Bar) zu favorisieren. Diese Verfahren kommen jeweils percutan mit nur kleinen Zugängen zur Anwendung, sodass keines favorisiert werden kann. Bei dünnem Weichteilmantel sollte hingegen eher dem transiliosacralen Bar oder der Doppelschraubenosteosynthese der Vorzug gegeben werden, da beim Fixateur bei dünner Weichteildeckung die Implantatperforation durch die Haut (Decubitus) droht.

Zur Planung der Operation ist die Computertomographie unumgänglich, die Magnetresonanztomographie sollte ebenso einbezogen werden, um mögliche noch okkulte Frakturkomponenten zusätzlich zu detektieren [23].

Die TISV nimmt in der Versorgung z. Zt. noch eine zentrale Rolle ein, da sie als altbewährtes Verfahren als Basistool von vielen Unfallchirurgen genutzt wird. Zudem ähnelt ihr die Implantation des Transsakralen Bars. Iliosakrales Bridging wie auch trianguläre Abstützung beinhalten zudem als Verfahrenskombinationen die TISV. Zur Kompression ist die TISV hingegen nur bedingt geeignet, da die hierzu nutzbaren Halbgewindeschrauben im osteoporotischen Knochen weniger Halt haben und so höhere Auslockerungsraten zeigen. Hier beinhalten die Nutzung des Fixateur interne in der vertikalen (dorsaler Fixateur, iliosakrales Bridging) sowie der transiliosakrale Bar mehr Kompressionsmöglichkeiten in Form des Implantates bzw. des Instrumentariums. Zusätzliche Zementaugmentationen bei Applikation der Schrauben (mit Ausnahme des iliosakralen Bar, bei der diese Technik nicht genutzt wird) können die Stabilität des Konstruktes bzw. den Halt der Schrauben verbessern.

Vor- und Nachteile der hier aufgeführten Verfahren sind zudem in Tabelle 1 dargestellt.

Neben den hier genannten Möglichkeiten der Stabilisierung des hinteren Beckenringes existieren weitere, die den genannten ähneln oder auch Kombinationen von Stabilisierungen des hinteren Beckenringes unter ergänzenden Osteosynthesen des vorderen Beckenrings (z. B. Plattenosteosynthese oder „Kriechschraube“ des Schambeins) beinhalten.

Zusammenfassung

Im Rahmen der zunehmenden Alterung der Gesellschaft treten zunehmend osteoporoseassoziierte und Insuffizienzfrakturen des Beckenrings in den Fokus der Unfallchirurgie. Entsprechend haben sich unterschiedliche Osteosyntheseverfahren etabliert, die nahezu gleichwertig zur Anwendung kommen können. Bisher existiert keine evidenzbasierte Studie, die wesentlichen Vorteile einer Methode unterstreicht. Wenn nach Abwägung der konservativen vs. operativen Therapie der Entscheid zur Operation erfolgt, sollte den stabileren Verfahren der Vorzug gegeben werden. Limitierend ist hierbei die Weichteildeckung der eingebrachten Implantate, die bei sehr schlanken oder kachektischen Patienten in Bezug auf den dorsalen Fixateur kritisch sein kann.

Abbildungen: AMEOS-Klinikum Halberstadt

Foto: AMEOS-Klinikum Halberstadt

Korrespondenzanschrift:

Dr. med. Holger Siekmann
Klinik für Unfall-, Hand- und Wiederherstellungschirurgie
AMEOS Klinikum
Gleimstraße 5
38820 Halberstadt
Tel.: 03941/642 708
E-Mail: Diese E-Mail-Adresse ist vor Spambots geschützt! Zur Anzeige muss JavaScript eingeschaltet sein.


Mit Dank für unsere Kollegen Ulrich Spiegl, Klaus Schnake, Max Scheyerer und Georg Osterhoff

Referenzen

[1] Rommens PM, Hofmann A. Comprehensive classification of fragility fractures of the pelvic ring: Recommendations for surgical treatment. Injury 2013; 44: 1733-1744

[2] Ullrich BW, Schnake KJ, Spiegl UJA et al. OF-Pelvic classification of osteoporotic sacral and pelvic ring fractures. BMC Muskuloskelet Disord 2021; 22 (1): 992-1001

[3] Lapina O, Tiskevicius S. Sacral insufficiency fracture after pelvic radiotherapie: a diagnostic challenge for a radiologist. Medicina (Kaunas) 2014; 50: 249-254

[4] Dasgupta B, Shah N, Brown H et al. Sacral insufficiency fractures: an unsuspected cause of low back pain. Br J Rheumatol 1998; 37: 789-793

[5] Dehdashti AR, Martin JB, Jean B et al. PMMA cementoplasty in symptomatic metastatic lesions of the S1 vertebral body. Cardiovasc Intervent Radiol 2000; 23: 235-237

[6] Garant M. Sacroplasty: a new treatment for sacral insufficiency fracture. J Vas sc Interv Radiol 2002; 1265-1267

[7] Andresen R, Radmer S, Andresen JR et al. Comparison of the 18- month outcome after the treatment of osteoporotic insufficiency fractures by means of balloon sacroplasty (BSP) and radiofrequency sacroplasty (RFS) in comparison: a prospective randomised study. Eur Spine J 2017; 26: 3235-3240

[8] Yang SC, Tsai TT, Chen HS et al. Comparison of sacroplasty with or with-out balloon assistance for the treatment of sacral insufficiency fractures. J Orthop Surg (Hong Kong) 2018; 26: 2309199018782575

[9] Andresen R, Radmer S, Andresen JR et al. Clinical Improvement and Cost effectiveness of CT guided Radiofrequency Sacroplasty (RFS) and Cement Sacroplasty (CSP) – a Prospective Randomised Comparison of Methods. Z Orthop Unfall 2019; 157: 524-533

[10] Hilgert RE, Finn J, Egbers HJ. Technique for percutaneous iliosacral screw insertion with conventional C-arm radiography. Unfallchirurg 2005; 108: 954-960

[11] van Zwienen CM, van den Bosch EW, Snijders CJ et al. Biomechanical comparison of sacroiliac screw techniques for unstable pelvic ring fractures. J Orthop Trauma 2004; 18: 589-595

[12] Osterhoff G, Dodd AE, Unno F et al. Bement Augmentation in Sacroiliac Screw Fixation Offers Modest Biomechanical Advantages in a Cadaver Model. Clin Orthop Relat Res 2016; 474: 2522-2530 

[13] Finiels H, Finiels PJ, Jacquot JM et al. [Fractures of the sacrum caused by bone insufficieny. Meta-analysis of 508 cases]. Presse Med 1997; 26: 1568-1573

[14] Mendel T, Ullrich BW, Hofmann GO et al. Progressive instability of bilateral sacral fragility fractures in osteoporotic bone: a retrospective analysis of X-ray, CT, and MRI datasets from 78 cases. Eur J Trauma Emerg Surg 2021; 47: 11-19

[15] Lattauschke A, Klauke F, Ullrich BW et al. [ Course of operative treatment of a sacral insufficiency fracture: successful or serious treatment?]. Unfallchirurg 2017; 120: 890-895

[16] Füchtmeier B, Maghsudi M, Neumann C et al. [The minimally invasive stabilization of the dorsal pelvic ring with the transiliacal internal fixator (TIFI)-surgical technique and first clinical findings]. Unfallchirurg 2004; 107: 1142-1151

[17] Siekmann H, Becherer L, Neef R, „Iliosacral bridging“ – A new alternative minimal invasive fixation of unstable pelvic ring fractures. Arch Surg Clin Res 2018; 2: 29-46

[18] Schmitz P, Baumann F, Acklin YP et al. Clinical application of a minimally invasive cement-augmentable Schanz screw rod system to treat pelvic ring fractures. Int Orthop 2019; 43: 697-703

[19] Schildhauer TA, Josten C, Muhr G. Triangular osteosynthesis of vertically unstable sacrum fractures: a new concept allowing early weight-bearing. J Orthop Trauma 2006; 20 (1 Suppl.): S44-S51

[20] Acklin YP, Zderic I, Richards RG et al. Biomechanical investigation of four different fixation techniques in sacrum Denis type II fracture with low bone mineral density. J Orthop Res 2018; 36: 1624-1629

[21] Schroeder GD, Savage JW, Patel AA et al. Spinopelvic Fixation in Complex Sacral Fractures. JBJS Reviews 2015. doi: 10.2106/JBJS.RVW.N.00007

[22] Williams SK, Quinnan SM. Percutaneous Lumbopelvic Fixation for Reduction and Stabilization of Sacral Fractures with Spinopelvic Dissociation Patterns. J Orthop Trauma 2016; 30: e318-e324

[23] Palm HG, Lang P, Hackenbroch C et al. Dual-energy CT as an innovative method for diagnosing fragility fractures of the pelvic ring: a retrospective comparison with MRI as the gold standard. Arch Orthop Trauma Surg 2020; 140: 473-480

Weitere Artikel

Die Kassenärztliche Vereinigung schreibt aus:
„Besser sehen“ stärkt Inklusion in Sachsen-Anhalt
Das Referat Medizinische Fachangestellte (MFA) informiert zum Freisprechen