Fallbericht einer seltenen Entität #)
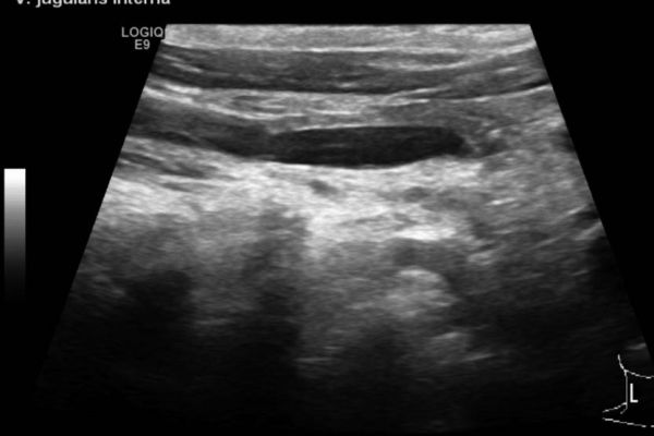
Aneurysma der Vena jugularis interna
Aneurysma der Vena jugularis interna

J. Deeb 1*/ F. Meyer 2*, M. Petersen 2, M. Pech3, Z. Halloul 1
*) Die Autoren J. D. et F. M. sind gleichberechtigte Erstautoren.
1 Arbeitsbereich Gefäßchirurgie; Klinik für Allgemein-, Viszeral-, Gefäß- und Transplantationschirurgie;
2 Klinik für Allgemein-, Viszeral-, Gefäß- und Transplantationschirurgie;
3 Klinik für Radiologie und Nuklearmedizin;
Universitätsklinikum Magdeburg A. ö. R., Magdeburg
#) Sekundäreinreichung zum Zweitdruck möglich, da
> Veröffentlichung des Primärartikels Open Access unter der Creative Commons Namensnennung 4.0 International Lizenz (und)
> Bestätigung durch den Verlag
Originalpublikation: Deeb J, Meyer F, Petersen M, Pech M, Halloul Z. Aneurysma der V. jugularis interna – Fallbericht einer seltenen Entität.
Gefaesschirurgie 2023;28:594-598. DOI: 10.1007/s00772-023-01051-y, https://creativecommons.org/licenses/by/4.0/deed.de
Gefaesschirurgie 2023;28:594-598. DOI: 10.1007/s00772-023-01051-y, https://creativecommons.org/licenses/by/4.0/deed.de
J. Deeb 1*/ F. Meyer 2*, M. Petersen 2, M. Pech3, Z. Halloul 1
*) Die Autoren J. D. et F. M. sind gleichberechtigte Erstautoren.
1 Arbeitsbereich Gefäßchirurgie; Klinik für Allgemein-, Viszeral-, Gefäß- und Transplantationschirurgie;
2 Klinik für Allgemein-, Viszeral-, Gefäß- und Transplantationschirurgie;
3 Klinik für Radiologie und Nuklearmedizin;
Universitätsklinikum Magdeburg A. ö. R., Magdeburg
#) Sekundäreinreichung zum Zweitdruck möglich, da
> Veröffentlichung des Primärartikels Open Access unter der Creative Commons Namensnennung 4.0 International Lizenz (und)
> Bestätigung durch den Verlag
Originalpublikation: Deeb J, Meyer F, Petersen M, Pech M, Halloul Z. Aneurysma der V. jugularis interna – Fallbericht einer seltenen Entität.
Gefaesschirurgie 2023;28:594-598. DOI: 10.1007/s00772-023-01051-y, https://creativecommons.org/licenses/by/4.0/deed.de
Gefaesschirurgie 2023;28:594-598. DOI: 10.1007/s00772-023-01051-y, https://creativecommons.org/licenses/by/4.0/deed.de

Joul Deeb











