Zum Hauptinhalt springen
Neue Ansätze in der operativen Versorgung der OSG-Arthrose

Paradigmenwechsel in der Behandlung einer Sprunggelenksarthrose

Paradigmenwechsel in der Behandlung einer Sprunggelenksarthrose

„Läufer auf Laufband mit eingeblendeter Röntgendarstellung des Fußes als Symbol für orthopädische Diagnostik und Bewegungsanalyse.
Foto: stock.adobe.com/vectorfusionart

C. Rump1, K.-St. Delank1, N. Gutteck1

1 Department für Orthopädie, Unfall- und Wiederherstellungschirurgie (DOUW), Universitätsklinikum Halle (Saale)

Portraitfotos: Universitätsmedizin Halle

Portrait von Dr. med. Constantin Rump
Dr. med. Constantin Rump
Portrait von Prof. Dr. med. Natalia Gutteck
Prof. Dr. med. Natalia Gutteck

C. Rump1, K.-St. Delank1, N. Gutteck1

1 Department für Orthopädie, Unfall- und Wiederherstellungschirurgie (DOUW), Universitätsklinikum Halle (Saale)

Portraitfotos: Universitätsmedizin Halle

Dr. med. Constantin Rump
Prof. Dr. med. Natalia Gutteck

Einleitung

Arthrosen in den Gelenken der unteren Extremitäten sind häufig und stellen einen wichtigen sozioökonomischen Faktor dar (1). Ihr negativer Einfluss auf die Lebensqualität ist maßgeblich durch möglich assoziierte Schmerzen, Bewegungseinschränkungen, gestörtes Gangbild und verkürzte Gehstrecke bedingt. Im Gegensatz zu Arthrose am Hüft- und Kniegelenk entsteht die Arthrose im oberen Sprunggelenk (OSG) in rund 75 % der Fälle posttraumatisch. Insbesondere komplexere Frakturen (bi-/trimalleolare Frakturen, C3-Frakturen der Tibia, Talusfrakturen) erhöhen das Risiko für eine posttraumatische Arthrose deutlich (2). Der zweite relevante Einflussfaktor für eine Arthrose im OSG ist die chronische Bandinstabilität (3). Begünstigende Faktoren für die Entstehung einer Arthrose im oberen Sprunggelenk stellen osteochondrale Läsionen dar, welche überwiegend im Rahmen eines Distorsionstraumas im oberen Sprunggelenk entstehen und mit einer chronischen ligamentären Instabilität einhergehen (4, 5). Darüber hinaus ist es wichtig, Fehlstellungen wie Rückfußdeformitäten und supramalleoläre Deformitäten, welche eine Arthrose im oberen Sprunggelenk begünstigen, zu erkennen und entsprechend zu behandeln.

Zielsetzung und Methode

In diesem Artikel wird ein Überblick über die Behandlung der Arthrose im oberen Sprunggelenk gegeben. Die basisbildenden Aspekte der korrekten und ausführlichen Diagnostik sowie der Bandbreite der konservativen Therapie werden beleuchtet. Darüber hinaus wird das Hauptaugenmerk auf den Paradigmenwandel der operativen Therapie gerichtet. Hierzu wurden grundlegende Werke der OSG-Endoprothetik sowie die aktuelle Studienlage zur OSG-Endoprothetik analysiert und ausgewertet. Dies wurde als eine freie Literaturrecherche durchgeführt. Hierbei wurde auf thematische Passung, Aktualität und wissenschaftliche Relevanz geachtet.

Eckpunkte

Diagnostik

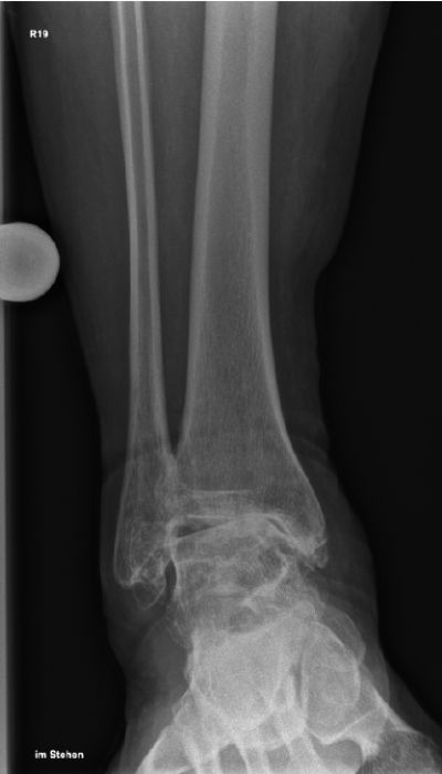
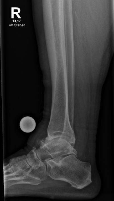
Eine ausführliche Anamnese und körperliche Untersuchung ist der Grundstein der Diagnostik und meistens bereits richtungsweisend. Typisch sind Schmerzen, Schwellung, Instabilität, Belastungseinschränkung sowie eine verminderte Beweglichkeit im oberen Sprunggelenk. In der klinischen Untersuchung sollte auf lokalen Druckschmerz, Bandinstabilitäten und Achsfehlstellungen geachtet und simultan die Funktion bzw. Beschwerden in den Nachbargelenken erfasst werden. Die Röntgen-Bildgebung sollte unter Belastung der betroffenen Extremität durchgeführt werden. Insbesondere der Mortise-view (Abbildung a) und die seitliche Aufnahme (Abbildung b) ermöglicht eine gute Beurteilung der Gelenksituation. Eine Ganzbeinaufnahme sollte erwogen werden, um statische Ursachen wie zum Beispiel kniegelenksnahe Achsdeformitäten zu detektieren. Bei Achsfehlstellungen, welche auf einer Rückfußproblematik basieren, ist der Hindfoot-View ein wichtiges diagnostisches Hilfsmittel. Bestehen ligamentäre Instabilitäten, eine unklare Situation der Nachbargelenke oder anzunehmende degenerative Sehnenveränderungen, kann eine MRT zur weiteren Therapieplanung sinnvoll sein (6). Bei komplexen knöchernen Situationen, insbesondere nach Frakturen mit eventuell vorhandenen Implantaten, kann die Computertomografie (CT) die Diagnostik sinnvoll erweitern. In ausgewählten Fällen kann die Arthroskopie zur Festlegung der geeigneten Behandlungsstrategie herangezogen werden. Zunehmend kommen ergänzende bildgebende Verfahren wie die „weight-bearing-CT“ zum Einsatz. Im klinischen Alltag ist der Stellenwert noch gering. Jedoch wird im Zuge der vermehrt durchgeführten präoperativen 3D-Planung eine wachsende Bedeutung erwartet (7).

Im Laufe der Zeit wurden mehrere Klassifikationen rund um die Arthrose des OSG entwickelt. Eine häufig genutzte ist die auf Röntgenbildern basierende Klassifikation von Takakura. Die Canadian Orthopedic Foot and Ankle Society (COFAS) hat eine Klassifikation für die endgradige OSG-Arthrose entwickelt, welche knöcherne Fehlstellungen und Bandinstabilitäten einbezieht. Die Klassifikation kann zur Entscheidungshilfe des operativen Vorgehens herangezogen werden (8).

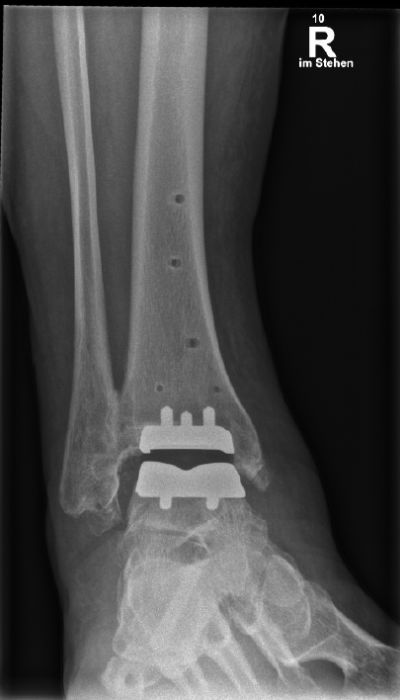
Röntgenaufnahme eines rechten Sprunggelenks mit Unterschenkelknochen zur medizinischen Diagnostik.
Röntgenaufnahme des rechten Sprunggelenks im seitlichen Standbild zur medizinischen Untersuchung.
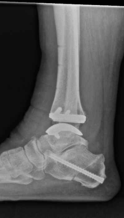
Röntgenaufnahme des rechten Sprunggelenks mit eingesetzter Prothese im Stand zur postoperativen Kontrolle.
Seitliche Röntgenaufnahme des rechten Sprunggelenks mit eingesetzter Prothese und Fixierungsschraube im Fersenbein.

Abbildung a-d: 78-jähriger Patient mit viertgradiger OSG-Arthrose bei varischer Verkippung des Talus. Verlaufskontrolle 6 Wochen nach Implantation der OSG-TEP. Noch erkennbare Bohrlöcher in der Tibia von der Ausrichtungslehre der OSG-TEP.

Konservative Therapie

An erster Stelle der Arthrosetherapie stehen die konservativen Therapieoptionen. Im Rahmen der Physiotherapie sollte der Schwerpunkt in der manualtherapeutischen Mobilisation des Gelenkes liegen sowie die funktionelle Korrektur der Beinachse erfolgen. Wesentliche Aufgabe ist es dabei, eine ausreichende Compliance des Patienten zu erreichen. Hierfür ist eine angemessene Aufklärung und die Vermittlung eines Eigenübungsprogramms notwendig. Gegebenenfalls kann im Akutstadium eine temporäre Entlastung, eine analgetisch-antiphlogistische Therapie oder eine Injektionstherapie erfolgen. Durch Orthesen oder Einlagen können Fehlstellungen oder Bandinstabilitäten symptomorientiert behandelt werden, ohne die zugrundeliegende Ursache zu beheben. Insbesondere bei beginnender Arthrose ist die Versorgung mit orthopädischen Hilfsmitteln als Therapieoption zu beachten (9).

Umstellungsosteotomie

Bei asymmetrischer OSG-Arthrose kann durch Umstellungsosteotomien, besonders in frühen Arthrosestadien, das Fortschreiten aufgehalten oder zumindest relevant verzögert werden (10).

Der überwiegende Teil der Fehlstellungen liegt in der coronaren Ebene. Am häufigsten liegt eine Varusdeformität vor, welche sich bei lateraler Bandinsuffizienz entwickelt (11). Eine supramalleolare Osteotomie, welche auf die Druckumverteilung im OSG abzielt, kann als gelenkerhaltende Strategie insbesondere bei jüngeren Patienten sinnvoll sein. Abhängig von der Ausgangssituation kann eine Osteotomie der distalen Fibula notwendig werden. Besteht eine Valgusdeformität, wird mit der supramalleolaren Umstellung eine Varisierung der Druckverteilung in der Gelenklinie erreicht. Sowohl lateral-aufklappende (open-wedge) als auch medial-zuklappende (closed-wedge) sowie Dome-Osteotomien finden Anwendung (12, 13). Bei kombinierten Deformitäten der Rückfußachse ist die Calcaneus-Osteotomie in Betracht zu ziehen (14). Neben der knöchernen Korrektur müssen gleichzeitig auch mögliche ligamentäre Instabilitäten adressiert werden. Bei erfolgten Korrekturen in frühen Arthrosestadien (Stadium I,II) zeigen sich zufriedenstellende Ergebnisse. Ab Stadium III spricht man von einer endgradigen Arthrose, welche für eine Therapie mittels alleiniger Umstellungsosteotomie nicht mehr in Frage kommt (2). Bei ca. 25 % sind nach stattgehabter supramalleolärer Umstellung auf Grund einer voranschreitenden Arthrose oder fortbestehenden klinischen Symptomatik weitere operative Versorgungen mittels Prothesenimplantation oder Arthrodese notwendig (12, 15).

Endoprothese

Ansätze das OSG endoprothetisch zu versorgen, erfolgten bereits zu Beginn der 1970er Jahre. Der erste Versuch eines Gelenkersatzes wurde von Lord und Marotte durchgeführt, indem sie einen invertierten Hüftschaft in der Tibia und eine Gelenkpfanne am Calcaneus implantierten (16).

Seitdem ist eine umfangreiche technische Entwicklung des Designs, der Implantatbeschichtung und der Implantationstechnik vollzogen worden (17-19). Lange hatte die Endoprothetik des OSG mit kurzen Standzeiten und Komplikationen zu kämpfen. Die heute zur Verfügung stehenden Konzepte kommen den Standzeiten der Hüft- und Knieendoprothesen immer näher (20). Während früher Fehlstellungen im OSG als Ausschlusskriterium betrachtet wurden, erfolgt heute die Achskorrektur durch Osteotomie ein- oder zweizeitig im Rahmen der Implantation der Endoprothese (Abbildung c,d). Wichtig ist die sorgfältige Behandlung von Inkongruenzen im Sprunggelenk mit Wiederherstellung des korrekten Alignments. Wird die Fehlstellung regelrecht behoben, sind die biomechanischen Resultate vergleichbar mit denen ohne vorbestehende Inkongruenz (21). Studien konnten zeigen, dass bei Varus-Fehlstellung bis zu 30° präoperativ nach Prothesen-Implantation mit erfolgtem Re-Alignment kein relevanter Unterschied im funktionellen Outcome zu betrachten ist (22).

Die vorhanden Revisionslösungen ermöglichen die Versorgung auch von jüngeren Patienten. Die in der Vergangenheit bei jüngeren Patienten oft favorisierte Versorgung mit OSG-Arthrodese erscheint unter Berücksichtigung der zu erwartenden Anschlussarthrosen des unteren Sprunggelenkes und der Fußwurzel als keine universelle moderne Versorgungsoption. Die Auswertung eigener Ergebnisse nach OSG-TEP-Versorgung der Patienten aus dem Hämophiliezentrum mit einem durchschnittlichen Alter von 28 Jahren (n=12) zeigte bei sorgfältiger Patientenselektion und -aufklärung keine relevanten Unterschiede in der Komplikations- bzw. Revisionsrate gegenüber Patienten ohne Blutgerinnungsstörung. Viel mehr lassen sich durch den Erhalt der Beweglichkeit des OSG positivere Langzeitverläufe erhoffen.

Die neueren Registerdaten spiegeln die positive Entwicklung der OSG-Endoprothetik wider und lassen diese als eine sichere und reproduzierbare Behandlungsstrategie erscheinen (23). Durch moderne Versorgungskonzepte mit simultaner oder zweizeitiger Korrektur der Begleitdeformitäten lassen sich auch schwere Rückfußdeformitäten balancieren. Insbesondere die Kombination mit minimal-invasiven Techniken senkt die Gesamtmorbidität des Eingriffes erheblich (24). Sind keine zusätzlichen Umstellungsosteotomien und korrigierenden Arthrodesen des Rückfußes notwendig, so ist mit den modernen OSG-Endoprothesen eine rasche postoperative Belastungsaufnahme, meistens nach Wundheilung, möglich (25). Die durchschnittliche Beweglichkeit nach Implantation einer OSG-TEP wird in der Literatur mit 25 – 38° in der Sagittalebene beschrieben (26, 27). Insbesondere bei präoperativ stark eingeschränkter Beweglichkeit lässt sich durch die Implantation der Prothese eine Verbesserung des Bewegungsausmaßes erzielen (28). Eines der zen­tralen Argumente für die OSG-Prothese stellt neben dem Erhalt der OSG Funktion auch die Schonung der Nachbargelenke dar. Eine Reihe von Arbeiten hat die problematische Entwicklung von Anschlussarthrosen nach OSG-Arthrodese nach bereits 10 Jahren aufgezeigt (29, 30). Vor allem Patienten mit bereits bestehender Arthrose des unteren Sprunggelenks (USG) oder aber nach bereits durchgeführter Arthrodese des USG-Komplexes profitieren von einem beweglichen OSG, welches die Versorgung mit einer OSG-Endoprothese gewährleistet. Im Gegensatz dazu sind insbesondere in diesen Fällen unzufriedenstellende Ergebnisse durch OSG-Arthrodese zu erwarten. Im Fokus der aktuellen Forschung bleibt die Thematik der Zystenbildung. Multifaktorielle Ursachen wie Abrieb, Stress-„shielding“ und Micromotion scheinen die zentrale Rolle zu spielen (31). Auch die Ergebnisse nach Versorgung mit „fixed-bearing“ und „mobile-bearing“ Komponenten erfordern eine weitere detaillierte Betrachtung.

Fallbericht

Der Patient, 78 J., männlich, stellte sich mit seit Jahren bestehenden, progredienten Schmerzen im rechten OSG in der Sprechstunde vor. Klinisch zeigte sich eine plantigrade Fußstellung bei varischer Rückfußachse. Die Beweglichkeit war eingeschränkt, Dorsal-/Plantarflexion OSG rechts 0/0/35°. Motorik, Durchblutung und Sensibilität waren intakt. Im Röntgen wurde eine viertgradige OSG-Arthrose bei ausgeprägter varischer Verkippung des Talus und Synostose des distalen Tibiofibulargelenkes deutlich. Nach Ausschöpfung der konservativen Therapiemaßnahmen stellten wir die Indikation zur Implantation einer OSG-TEP mit ergänzender minimalinvasiver Umstellungs­osteotomie des Calcaneus. Postoperativ erfolgte die Mobilisation im langen Walker mit Bodenkontaktlauf. 6 Wochen postoperativ lagen reizlose Narbenverhältnisse vor. Das Bewegungsausmaß stellte sich mit Dorsal-/Plantarflexion 10°/0°/40° verbessert dar. Es bestand noch eine moderate Schwellneigung. Im Röntgen zeigte sich eine gut integrierte OSG-Endoprothese bei unveränderter Implantatlage und knöchern fusionierter Calcaneus-Osteotomie. Von Seiten des Patienten bestand eine deutliche Reduktion der Schmerzen und subjektive Zufriedenheit. Anschließend erfolgte eine rasche Steigerung der Belastung bis zur Vollbelastung ohne Walker und Gehstützen.

Arthrodese

Bei bestehender Kontraindikation zur Implantation einer OSG-Endoprothese z. B. bei erheblicher infektassoziierter Destruktion, schlecht eingestelltem Diabetes mit Polyneuropathie oder bei neurologischen Störungen bleibt die Arthrodese als „Salvage Procedere“ erhalten (25).
Für die Arthrodese des OSG stehen diverse operative Vorgehensweisen zur Verfügung. Sowohl eine isolierte tibiotalare Arthrodese bei erhaltenem Subtalargelenk als auch tibio-talo-calcaneare Arthrodese-Verfahren bei arthrotischem Subtalargelenk finden ihre Anwendung. Je nach geplanter Arthrodese wird ein Verfahren durch Schrauben, Platten, einen Nagel oder Ringfixateur (vor allem in Infektsituationen und in der Behandlung der Charcot-Arthropathie) gewählt. Es stehen offene und arthroskopische Operationstechniken zur Verfügung (32). Bei isolierter OSG-Arthrodese zeigen arthroskopische Verfahren in der aktuellen Literatur geringere Wundheilungsstörungen und eine höhere Durchbauungsrate (33). In klinischen und biomechanischen Studien des eigenen Zentrums konnte die Überlegenheit der posterolateralen Plattenarthrodese gegenüber der Schraubenarthrodese bzw. der Nagelarthrodese in Bezug auf die Fusionsrate bzw. Stabilität aufgezeigt werden (34). Bei geplanten offenen Arthrodesen in Fällen mit erheblicher rigider Deformität ist die posterolaterale Plattenarthrodese ein häufig favorisiertes Verfahren (35).

Eine Pseudarthrosenrate von 1,1 % bis 41 % wird in der aktuellen Literatur unabhängig vom Osteosyntheseverfahren angegeben, wobei die höheren Raten an Pseudarthrosen bzw. Komplikationen vor allem den Risikogruppen zuzuschreiben sind (36-38). Patienten mit Diabetes, Polyneuropathie, Charco-Arthropathie und septischer Arthritis gehören im hohen Maß zu der entsprechenden Risikogruppe. In unserem Zentrum werden diese Risikopatienten überwiegend mit einem Taylor-Spatial-Frame (TSF) bzw. einer kombinierten Versorgung mit TSF und interner Osteosynthese versorgt. Eine erhebliche Reduktion der Komplikationsrate konnte in der eigenen vergleichenden Studie durch die Kombination der arthroskopischen OSG-Arthrodese und TSF demonstriert werden (39). Die genaue Analyse der vorhandenen Deformität und des bestehenden Risikoprofils des Patienten bestimmen maßgeblich die optimale Herangehensweise unter Berücksichtigung der zur Verfügung stehenden operativen (offen vs. arthroskopisch) und osteosynthetischen Verfahren (37). Außerhalb der Risikogruppen unter gleichzeitiger Berücksichtigung der langfristigen Folgen der OSG-Arthrodese wie Anschlussarthro-­sen (40), sieht man die Indikationszahlen für die OSG-Arthrodese deutlich zu Gunsten der endoprothetischen Versorgung zurückgehen.

Limitationen des Artikels

Dieser Artikel soll eine Übersicht zur Behandlung der Arthrose im OSG bieten. Die Bewertung und Einordnung der Behandlungsstrategien sind dazu auf aktuelle Studien und Studien der vergangenen Jahre gestützt. Generell liegt in der Darstellung des „Status quo“ die Gefahr, dass diese nur für einen begrenzten Zeitraum eine adäquate Bewertung der Studienlage bietet. Durch neue Entwicklungen, weitere wissenschaftliche Arbeiten kann und muss eventuell die Einordnung der Thematik zu einem späteren Zeitpunkt anders ausfallen. Des Weiteren ist dieser Übersichtsartikel auf einer freien Rechereche basierend und somit kein systematisches Review. Dadurch kann nicht ausgeschlossen werden, dass gegebenenfalls relevante Publikationen nicht erwähnt wurden.

Ausblick

In diesem Artikel wird dargestellt, dass es einen Wandel der operativen Versorgung der fortgeschrittenen OSG-Arthrose gibt. In der Medizin lassen sich auf vielen Gebieten langfristige Entwicklungen und die Ausbildung neuer Paradigmen beobachten. Auf der anderen Seite gibt es jedoch auch Trends von weniger Nachhaltigkeit. Somit wird es spannend zu sehen sein, ob die Endoprothetik am OSG die Entwicklungen mit steigenden Versorgungszahlen, gebesserten klinischen Ergebnissen und zunehmenden Standzeiten fortsetzen kann. Hierzu werden insbesondere Langzeitstudien und die Auswertung von Registerdaten von Interesse sein. Parallel dazu spielt in der Endoprothetik des OSG die technische Entwicklung eine bedeutende Rolle. Hier wird zu beobachten sein, ob neue Materialien oder Prothesenmodelle einen weiteren positiven Anstoß geben können. Sowohl in Hinblick auf Nutzungsdauer und Funktion, aber auch in Hinblick auf die aktuellen Komplikationen (s.o.) die mit OSG-TEPs einhergehen können.

Zusammenfassung

In Zusammenschau der aktuellen Datenlage ist die Definition der OSG-Arthrodese als den „goldenen Standard“ zur Behandlung der OSG-Arthrose nicht mehr gegeben (41). Alternative, erfolgreiche Konzepte zum Erhalt der Sprunggelenksfunktion durch moderne OSG-Endoprothesen beanspruchen mehr und mehr diesen Platz in der Versorgung. Durch die modernen Prothesendesigns und Versorgungskonzepte zeigen die aktuellen Registerdaten deutlich gebesserte, auf das Niveau der Knieendoprothetik ansteigende Standzeiten. Heute haben rund 90 % der implantierten Prothesen eine Standzeit von über 10 Jahren (18). Dieser Fortschritt in Kombination mit den immer besser werdenden funktionellen Ergebnissen erklärt den anhaltenden Aufschwung der OSG-Endoprothetik in den letzten Jahren (17). Als Ausdruck dessen steigen die Zahlen der Implantationen deutlich (42, 43). Die mit der OSG-Endoprothetik verbundene Problematik der Zystenbildung bleibt bisher aber noch ungelöst. Die neue Technologie der 3D-gedruckten porösen „in-growth“ Oberfläche der Prothesenkomponenten und hochvernetzte Polyethyleninlays könnten möglicherweise zur Problemlösung beitragen.

Dem Zusammenspiel von Implantat und dessen knöchernen und weichteiligen Alignment kommt eine wichtige Bedeutung zu. Ist dies operativ gut umgesetzt, liegt der Vorteil im funktionellen Outcome auf Seite der Endoprothese (44, 45). Im Behandlungsalgorithmus sollte an erster Stelle die konservative Therapie mit dem Gelenkerhalt angestrebt werden. Ist das nicht zielführend, sollte der Bewegungserhalt des OSG durch eine endoprothetische Versorgung präferiert werden. Ist eine OSG-TEP unter Berücksichtigung der individuellen Situation des Patienten mit einem hohen Risiko verbunden, ist die Arthrodese vorzuziehen.

Korrespondenzanschrift inkl. Ansprechpartner:

apl. Prof. Dr. med. Natalia Gutteck
Leitende Oberärztin und Leiterin Schwerpunkt
Fuß- und Sprungelenkschirurgie
Department für Orthopädie, Unfall- und
Wiederherstellungschirurgie
Universitätsmedizin Halle (Saale)
Ernst-Grube-Straße 40
06120 Halle (Saale)
Internet: www.umh.de

Autorenerklärung

Hiermit erklären die Autoren, dass der vorliegende Artikel eigenständig nach den Standards der medizinischen und wissenschaftlichen Praxis verfasst wurde. Alle an der Entstehung des Artikels beteiligten Personen sind als Autoren aufgeführt. Alle verwendeten Quellen wurden zitiert und sind im Quellenverzeichnis aufgeführt. Dieser Artikel ist bisher nicht veröffentlicht oder bei einer anderen Fachzeitschrift zur Veröffentlichung eingereicht worden. Alle Autoren stimmen der Veröffentlichung dieses Artikels zu.

Interessenkonflikt

Es besteht kein Interessenkonflikt.

Literaturverzeichnis:

  1. Blalock D, Miller A, Tilley M, Wang J. Joint instability and osteoarthritis. Clin Med Insights Arthritis Musculoskelet Disord. 2015;8:15-23.
  2. Valderrabano V, Horisberger M, Russell I, Dougall H, Hintermann B. Etiology of ankle osteoarthritis. Clin Orthop Relat Res. 2009;467(7):1800-6.
  3. Glazebrook M, Daniels T, Younger A, Foote CJ, Penner M, Wing K, et al. Comparison of health-related quality of life between patients with end-stage ankle and hip arthrosis. J Bone Joint Surg Am. 2008;90(3):499-505.
  4. Saltzman CL, Salamon ML, Blanchard GM, Huff T, Hayes A, Buckwalter JA, Amendola A. Epidemiology of ankle arthritis: report of a consecutive series of 639 patients from a tertiary orthopaedic center. Iowa Orthop J. 2005;25:44-6.
  5. Spering C SH. Arthrose des oberen Sprunggelenks. Orthopädie Technik. 2016(67 (4)):70–6.
  6. Buedts K. Preoperative planning of total ankle prosthesis – What are we aiming at? Fuß & Sprunggelenk. 2024;22(3):163-71.
  7. Kim J, Kim J, Kim S, Yi Y. Weight-Bearing CT for Diseases around the Ankle Joint. Diagnostics (Basel). 2024;14(15) 1641.
  8. Krause FG, Di Silvestro M, Penner MJ, Wing KJ, Glazebrook MA, Daniels TR, et al. The postoperative COFAS end-stage ankle arthritis classification system: interobserver and intraobserver reliability. Foot Ankle Spec. 2012;5(1):31-6.
  9. Goldberg AJ, Chowdhury K, Bordea E, Hauptmannova I, Blackstone J, Brooking D, et al. Total Ankle Replacement Versus Arthrodesis for End-Stage Ankle Osteoarthritis. Ann Intern Med. 2022;175(12):1648-57.
  10. Hintermann B, Knupp M, Barg A. Supramalleolar Osteotomies for the Treatment of Ankle Arthritis. J Am Acad Orthop Surg. 2016;24(7):424-32.
  11. Valderrabano V, Hintermann B, Horisberger M, Fung TS. Ligamentous posttraumatic ankle osteoarthritis. Am J Sports Med. 2006;34(4):612-20.
  12. Krähenbühl N, Zwicky L, Bolliger L, Schädelin S, Hintermann B, Knupp M. Mid- to Long-term Results of Supramalleolar Osteotomy. Foot Ankle Int. 2017;38(2):124-32.
  13. Faict S, Burssens A, Van Oevelen A, Maeckelbergh L, Mertens P, Buedts K. Correction of ankle varus deformity using patient-specific dome-shaped osteotomy guides designed on weight-bearing CT: a pilot study. Arch Orthop Trauma Surg. 2023;143(2):791-9.
  14. Krähenbühl N, Susdorf R, Barg A, Hintermann B. Supramalleolar osteotomy in post-traumatic valgus ankle osteoarthritis. Int Orthop. 2020;44(3):535-43.
  15. Stukenborg-Colsman C, Ettinger S, Claassen L, Daiwei Y, Plaass C. Umstellungsosteotomien bei Arthrose am Sprunggelenk (supra- und inframalleolar) – Was kann man erwarten? Der Unfallchirurg. 2022;125(3):189-95.
  16. Lord G, Marotte JH. [Total ankle prosthesis. Technic and 1st results. Apropos of 12 cases]. Rev Chir Orthop Reparatrice Appar Mot. 1973;59(2):139-51.
  17. Puchner S, Döring K. Endoprothesen bei fortgeschrittener Arthrose des oberen Sprunggelenks. rheuma plus. 2023;22(1):56-9.
  18. Undén A, Jehpsson L, Kamrad I, Carlsson Å, Henricson A, Karlsson MK, Rosengren BE. Better implant survival with modern ankle prosthetic designs: 1,226 total ankle prostheses followed for up to 20 years in the Swedish Ankle Registry. Acta Orthop. 2020;91(2):191-6.
  19. Rehart S, Schubert L, Valo M. Total ankle arthroplasty – an update. OUP 2022;12:18-22.
  20. Santini S, Marinozzi A, Talia AJ, Herrera-Rodríguez A, Herrera-Pérez M, Valderrabano V. Sports Activity with Ankle Osteoarthritis and Total Ankle Arthroplasty. J Clin Med. 2024;13(23).
  21. Haskell A, Mann RA. Ankle Arthroplasty with Preoperative Coronal Plane Deformity: Short-Term Results. Clinical Orthopaedics and Related Research®. 2004;(424): 98-103
  22. Hobson SA, Karantana A, Dhar S. Total ankle replacement in patients with significant pre-operative deformity of the hindfoot. J Bone Joint Surg Br. 2009;91(4):481-6.
  23. Shaffrey I, Henry J, Demetracopoulos C. An evaluation of the total ankle replacement in the modern era: a narrative review. Ann Transl Med. 2024;12(4):71.
  24. Kendal AR, Khalid A, Ball T, Rogers M, Cooke P, Sharp R. Complications of minimally invasive calcaneal osteotomy versus open osteotomy. Foot Ankle Int. 2015;36(6):685-90.
  25. Preis M, Kostuj T. Endoprothese des oberen Sprunggelenks. OUP 2016;12.
  26. Dekker TJ, Hamid KS, Easley ME, DeOrio JK, Nunley JA, Adams SB, Jr. Ratio of Range of Motion of the Ankle and Surrounding Joints After Total Ankle Replacement: A Radiographic Cohort Study. J Bone Joint Surg Am. 2017;99(7):576-82.
  27. Barg A, Wimmer MD, Wiewiorski M, Wirtz DC, Pagenstert GI, Valderrabano V. Total ankle replacement. Dtsch Arztebl Int. 2015;112(11):177-84.
  28. Ruiz R, Krähenbühl N, Susdorf R, Horn-Lang T, Barg A, Hintermann B. Ankle Range of Motion Following 3-Component Total Ankle Arthroplasty. Foot Ankle Int. 2021;42(1):31-7.
  29. Gaedke IE, Wiebking U, O'Loughlin PF, Krettek C, Gaulke R. Clinical and Radiological Mid- to Long-term Outcomes Following Ankle Fusion. In Vivo. 2018;32(6):1463-71.
  30. Hendrickx RP, Stufkens SA, de Bruijn EE, Sierevelt IN, van Dijk CN, Kerkhoffs GM. Medium- to long-term outcome of ankle arthrodesis. Foot Ankle Int. 2011;32(10):940-7.
  31. Najefi AA, Ghani Y, Goldberg AJ. Bone Cysts and Osteolysis in Ankle Replacement. Foot Ankle Int. 2021;42(1):55-61.
  32. Yasui Y, Hannon CP, Seow D, Kennedy JG. Ankle arthrodesis: A systematic approach and review of the literature. World J Orthop. 2016;7(11):700-8.
  33. Quayle J, Shafafy R, Khan MA, Ghosh K, Sakellariou A, Gougoulias N. Arthroscopic versus open ankle arthrodesis. Foot Ankle Surg. 2018;24(2):137-42.
  34. Gutteck N, Schilde S, Reichel M, Holtz A, Sahmel O, Hinz P, et al. Posterolateral plate fixation with Pantalarlock® is more stable than nail fixation in tibiotalocalcaneal arthrodesis in a biomechanical cadaver study. Foot and Ankle Surgery. 2020;26(3):328-33.
  35. Gutteck N, Lebek S, Zeh A, Gradl G, Delank KS, Wohlrab D. [Ankle arthrodesis with an posterolateral approach using a polyaxial angle stable Talarlock® plate]. Oper Orthop Traumatol. 2013;25(6):615-23.
  36. Chiang CH, Lin CH, Yang HY, Su SY, Hsu YH, Huang CM, Lo SP. Risk factors for non-union in foot and ankle arthrodesis: a population-based case-control study using registry data. BMC Musculoskelet Disord. 2025;26(1):253.
  37. Lawton CD, Butler BA, Dekker RG, 2nd, Prescott A, Kadakia AR. Total ankle arthroplasty versus ankle arthrodesis-a comparison of outcomes over the last decade. J Orthop Surg Res. 2017;12(1):76.
  38. Zwipp H, Rammelt S, Endres T, Heineck J. High union rates and function scores at midterm followup with ankle arthrodesis using a four screw technique. Clin Orthop Relat Res. 2010;468(4):958-68.
  39. Gutteck N, Delank KS, Schilde S. Comparative results of arthroscopic ankle arthrodesis vs. open arthrodesis in patients with diabetes-associated Charcot Neuro-Arthropathy. Eur J Orthop Surg Traumatol. 2023;33(8):3577-84.
  40. Ross BJ, Savage-Elliott I, Wu VJ, Rodriguez RF. Complications Following Total Ankle Arthroplasty Versus Ankle Arthrodesis for Primary Ankle Osteoarthritis. Foot & Ankle Specialist. 2021;16(1):20-7.
  41. Favier BJC, Goldberg AJ. Ankle arthrodesis: Still the gold standard? FussSprungg. 2024;22(3):147-62.
  42. Perry TA, Silman A, Culliford D, Gates L, Arden N, Bowen C. Trends in the Utilization of Ankle Replacements: Data From Worldwide National Joint Registries. Foot Ankle Int. 2021;42(10):1319-29.
  43. Karzon AL, Kadakia RJ, Coleman MM, Bariteau JT, Labib SA. The Rise of Total Ankle Arthroplasty Use: A Database Analysis Describing Case Volumes and Incidence Trends in the United States Between 2009 and 2019. Foot Ankle Int. 2022;43(11):1501-10.
  44. Coester LM, Saltzman CL, Leupold J, Pontarelli W. Long-Term Results Following Ankle Arthrodesis for Post-Traumatic Arthritis. J Bone Joint Surg Am. 2001;83(2).
  45. Hunt KJ, Lakey E. Patient-Reported Outcomes in Foot and Ankle Surgery. Orthop Clin North Am. 2018;49(2):277-89.

 

Weitere Artikel
Ärztekammer Sachsen-Anhalt für die IX. Wahlperiode (2026 – 2031)
Anschlag auf Weihnachtsmarkt 2024: Bewegende Gedenkstunde in Johanniskirche
Herbstsitzung der Kammerversammlung vom 8. November 2025